অনলাইন সংস্করণ | ভোলা, শুক্রবার, ৮ই মে ২০২৬ | ২৫শে বৈশাখ ১৪৩৩


দাঁতের ক্যাভিটি থেকে মুক্তির ৫ উপায়


বাংলার কণ্ঠ ডেস্ক

প্রকাশিত: ৪ঠা এপ্রিল ২০২৩ দুপুর ১২:৫২

remove_red_eye

৩১৫

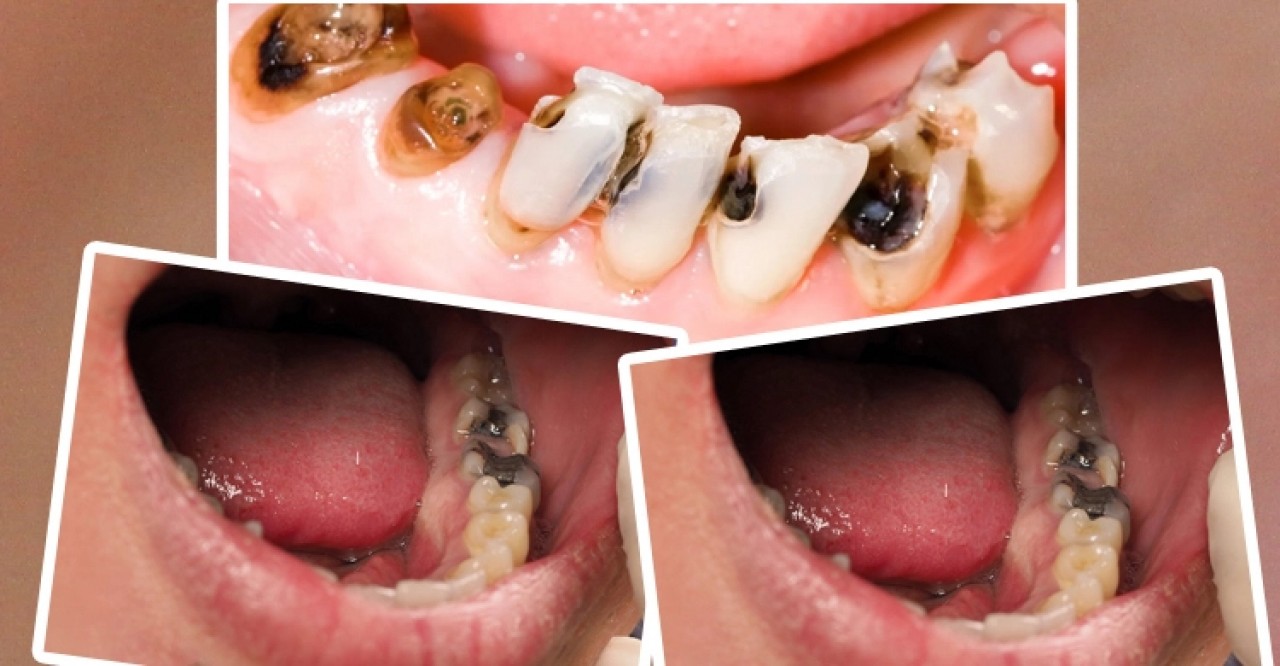
দাঁতের সমস্যায় কমবেশি সবাই ভোগেন। দাঁতে পোকা হওয়া, মাড়ির সমস্যার পাশাপাশি দাঁতের আরও এক সমস্যা হলো ক্যাভিটি। শিশু থেকে বয়স্ক অনেকের দাঁতেই দেখা যায় ছোট ছোট কালো গর্ত।

এক্ষেত্রে দাঁতে ছোট কালো গর্ত হয়। যাকে বলা হয় ক্যাভিটি বলে। এটি ব্যাকটেরিয়ার কারণে হয়। প্রতিবার খাবার খাওয়ার পর ঠিকমতো দাঁত পরিষ্কার করা না হলে খাবার জমতে থাকে।

দাঁতের ক্যাভিটি সব বয়সীদেরই প্রভাবিত করতে পারে। মিষ্টিপ্রেমীদের সবচেয়ে বেশি ক্য়াভিটিতে আক্রান্ত হওয়ার প্রবণতা বাড়ায়।

শুরুতেই ক্যাভিটির চিকিৎসা না করা হলে ক্ষয় বাড়তে শুরু করে। সারাদিনের খাবার ও পানীয় থেকে খাদ্যের খুব ছোট ছোট কণা দাঁতের মধ্যে জমা হতে থাকে, ফলে দাঁতে ব্যাকটেরিয়া হতে শুরু করে।

এই ব্যাকটেরিয়া থেকেই প্লাক নামক একটি পুরু স্তর তৈরি হয় দাঁতে। এই স্তর দাঁতে ক্ষয় সৃষ্টি করে। স্ট্রেপ্টোকোকাস মিউট্যানস নামক এক ধরনের ব্যাকটেরিয়া, যা সবচেয়ে বেশি ক্ষতি করে দাঁতের।

ক্যাভিটি হচ্ছে বুঝতে পারলে সময় নষ্ট না করে চিকিৎসা শুরু করুন। ক্যাভিটি প্রাথমিক স্তরে থাকলে বাড়িতেই সারিয়ে তুলতে পারেন ঘরোয়া কয়েকটি উপায়ে।

নারকেল তেল

ক্যাভিটি থেকে মুক্তি পেতে নারকেল তেল ব্যবহার করতে পারেন। এর জন্য আপনি এক চামচ এক্সট্রা ভার্জিন অলিভ অয়েল তেল নিয়ে মুখে রাখুন।

এবার এই তেল মুখের ভেতর প্রায় ১০ মিনিট কুলকুচি করুন ও পরে ধুয়ে ফেলুন। তারপর যথারীতি ব্রাশ করুন। আপনি চাইলে ব্রাশ করার পর ফ্লস অর্থাৎ দাঁতের মাঝে পাতলা সুতো দিয়েও পরিষ্কার করতে পারেন।

লিকোরিস রুট

গহ্বর থেকে মুক্তি পেতে আপনি লিকোরিস রুটও ব্যবহার করতে পারেন। এর জন্য এক টুকরো লিকোরিস রুট নিয়ে এর পাউডার তৈরি করুন। তারপর সকাল-সন্ধ্যা এই পাউডার দিয়ে ব্রাশ করে পরিষ্কার পানি দিয়ে ধুয়ে ফেলুন।

নিম ডাল

এক টুকরো নিম ডাল নিয়ে এর পাতা তুলে ফেলুন, তারপর পরিষ্কার পানি দিয়ে ডালটি ধুয়ে ফেলুন। এরপর এই ডালের উপরের অংশ চিবিয়ে একটু নরম করে নিন।

যখন এই অংশটি নরম হয়ে ব্রাশের মতো দেখাতে শুরু করবে, তখন এটি আপনার দাঁতে ১০-১৫ মিনিটের জন্য ঘষতে থাকুন। এরপর পরিষ্কার পানি দিয়ে ধুয়ে ফেলুন।

লবঙ্গ তেল

এই সমস্যা দূর করতে লবঙ্গ তেলও ব্যবহার করতে পারেন। এর জন্য একটি তুলো নিয়ে তাতে দুই-তিন ফোঁটা লবঙ্গ তেল দিন। তারপর তুলোর সাসায্যে দাঁতে সামান্য ঘষে নিন ও ঘুমিয়ে পড়ুন।

রসুন

ক্যাভিটির সমস্যা দূর করতে রসুন ব্যবহার করতে পারেন। এর জন্য চার-পাঁচটি রসুনের কুঁড়ি খোসা ছাড়িয়ে পিষে ভালো করে পেস্ট তৈরি করুন। এবার এই পেস্ট দাঁতে লাগিয়ে ১০ মিনিট রেখে দিন। এরপর পরিষ্কার পানি দিয়ে ধুয়ে ফেলুন ও ব্রাশ করুন।

সুত্র জাগো

 





ভোলায় নারিকেল পাড়া নিয়ে রক্তক্ষয়ী সংঘর্ষে নিহত ১, আটক ৪

ভোলায় নারিকেল পাড়া নিয়ে রক্তক্ষয়ী সংঘর্ষে নিহত ১, আটক ৪

চরফ্যাশনে ২ হাজার প্রান্তিক জেলেকে খাদ্য সহায়তা প্রদান

চরফ্যাশনে ২ হাজার প্রান্তিক জেলেকে খাদ্য সহায়তা প্রদান

লালমোহনে উপজেলা পর্যায়ে সরকারি প্রাথমিক বিদ্যালয়ের ফুটবল টুনামেন্টের ফাইনাল খেলা অনুষ্ঠিত

লালমোহনে উপজেলা পর্যায়ে সরকারি প্রাথমিক বিদ্যালয়ের ফুটবল টুনামেন্টের ফাইনাল খেলা অনুষ্ঠিত

ভোলায় হত্যাকান্ডের আসামি কক্সবাজারে গ্রেফতার

ভোলায় হত্যাকান্ডের আসামি কক্সবাজারে গ্রেফতার

ভোলায় পানি নিষ্কাশনের দাবীতে কৃষকদের মানববন্ধন

ভোলায় পানি নিষ্কাশনের দাবীতে কৃষকদের মানববন্ধন

ভোলায় সাবেক প্রতিমন্ত্রী মোশারেফ  হোসেন শাজাহানের মৃত্যুবার্ষিকীতে আলোচনা সভা ও দোয়া মুনাজাত

ভোলায় সাবেক প্রতিমন্ত্রী মোশারেফ হোসেন শাজাহানের মৃত্যুবার্ষিকীতে আলোচনা সভা ও দোয়া মুনাজাত

ভোলার বিশিষ্ট ব্যবসায়ী মোঃ হারুন অর রশিদের সহধর্মিণীর ইন্তেকাল

ভোলার বিশিষ্ট ব্যবসায়ী মোঃ হারুন অর রশিদের সহধর্মিণীর ইন্তেকাল

সাবেক ধর্ম প্রতিমন্ত্রী মোশারফ হোসেন শাজাহানের আজ ১৪ তম মৃত্যুবার্ষিকী

সাবেক ধর্ম প্রতিমন্ত্রী মোশারফ হোসেন শাজাহানের আজ ১৪ তম মৃত্যুবার্ষিকী

বোরহানউদ্দিনে দ্বিতীয় দিনে স্কয়ারের ফ্রি হেলথ ক্যাম্পে  চিকিৎসাসহ ঔষধ পেলো কয়েক হাজার মানুষ

বোরহানউদ্দিনে দ্বিতীয় দিনে স্কয়ারের ফ্রি হেলথ ক্যাম্পে চিকিৎসাসহ ঔষধ পেলো কয়েক হাজার মানুষ

গণিত পরীক্ষা খারাপ হওয়ায় ভোলায় এসএসসি পরীক্ষার্থীর আত্মহত্যা

গণিত পরীক্ষা খারাপ হওয়ায় ভোলায় এসএসসি পরীক্ষার্থীর আত্মহত্যা

আরও...